
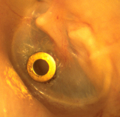
Aérateurs transtympaniques
L’aérateur trans-tympanique est un tube creux en matériau plastique (yoyo ou diabolo, tube droit ou T tube).

Cet aérateur est mis en place au travers de la membrane tympanique après incision, ou paracentèse, du tympan, sous microscope. Habituellement, l’aérateur va s’expulser spontanément au bout de quelques mois. Dans certains cas, il devra être enlevé par votre ORL.

BUT DE L’INTERVENTION
La mise en place d’un aérateur à travers le tympan a pour but de favoriser l’aération de l’oreille moyenne en cas :
- d’otite séro-muqueuse avec atteinte auditive
- de rétraction tympanique
- d’otites moyennes aigues à répétition
En l’absence de traitement, l’otite séro-muqueuse s’accompagne d’une baisse d’audition, due au liquide qui est présent derrière le tympan. Cette baisse d’audition (réversible) peut être source, chez l’enfant, de retard de langage, de troubles du comportement ou de difficultés scolaires. Elle peut également évoluer vers une otite chronique avec, entre autres complications, une baisse d’audition par perforation du tympan ou atteinte des osselets.
REALISATION DE L’INTERVENTION
L’intervention se déroule sous anesthésie locale ou générale en fonction de l’âge et de la sensibilité du patient. Une consultation d’anesthésie pré́-opératoire est indispensable en cas d’anesthésie générale. Il est de la compétence du médecin anesthésiste-réanimateur, que vous verrez en consultation au préalable, de répondre à vos questions relatives à sa spécialité́.
La durée d’hospitalisation et les soins post-opératoires vous seront précisés par votre chirurgien.
RISQUES IMMEDIATS
Un écoulement de l’oreille peut se produire après l’intervention. Cet écoulement est plus ou moins sanglant, plus ou moins infecté, il peut favoriser l’expulsion précoce de l’aérateur. Vous devrez informer votre chirurgien si l’écoulement persiste au-delà de quelques jours.
RISQUES SECONDAIRES
L’aérateur peut se boucher. Dans ce cas, la pathologie de l’oreille peut récidiver.
Dans de rares cas on peut observer la migration de l’aérateur derrière le tympan.
Une fois l’aérateur expulsé, la guérison est la règle mais on peut observer :
- une modification cicatricielle de la membrane tympanique (atrophie, tympanosclérose, granulome) comme après tout acte opératoire sur une oreille
- une récidive de la pathologie
- une perforation séquellaire du tympan qui peut nécessiter un acte chirurgical ultérieur (Rare)
COMPLICATIONS EXCEPTIONNELLES ET/OU GRAVES
Très exceptionnellement ont été́ rapportés des pertes d’audition importantes, des bourdonnements d’oreille, des vertiges, des inclusions d’épiderme derrière le tympan.
Téléchargez la fiche d’information de la Société Française d’ORL :
