
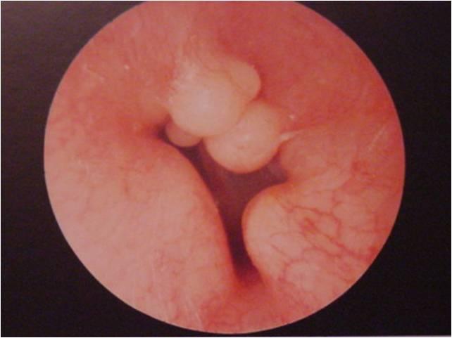
Exostose du conduit auditif
L’exostose correspond à la formation d’os dans le conduit auditif externe. C’est une réaction de défense de l’organisme contre une agression extérieure. Cette affection est la conséquence de l’agression de l’eau froide sur le conduit auditif externe. Les surfeurs mais aussi les kayakistes et les nageurs en eaux froides comme les triathlètes y sont sujets.

Les conséquences peuvent être graves. L’exostose peut en effet provoquer une mauvaise évacuation de l’eau entre la masse osseuse et le tympan. D’où un risque d’otites externes extrêmement douloureuses à répétition. Et à long terme, si rien n’est fait, les excroissances osseuses peuvent aller jusqu’à l’obturation complète et la perte d’audition.

N’hésitez pas à poser vos questions en consultation.
