Troubles de la voix
Dysphonie
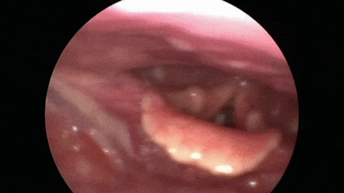
Le larynx est un organe du système respiratoire, situé dans entre le pharynx et la trachée. C’est l’organe de la phonation. Il intervient dans la respiration ainsi que la déglutition.

Il est composé de plusieurs cartilages :
- Thyroïde
- Épiglotte
- Cricoïde
- Les aryténoïdes

Les troubles de la voix sont nombreux et sont regroupés sous le terme de dysphonie.
La voix peut être enrouée, voilée, cassée ou devenir plus aigue ou plus grave, plus faible ou plus fatigable. Ces troubles résultent toujours d’un défaut de vibration des cordes vocales.
Les causes sont multiples et il est impossible ici de toutes les énumérer.
On peut cependant présenter les plus fréquentes en commençant par les laryngites. Il s’agit d’une inflammation de la muqueuse qui tapisse les cordes vocales. On distingue les laryngites aigues qui sont souvent provoquées par une infection virale et qui guérissent rapidement, des laryngites chronique qui persistent dans le temps et dont la fumé du tabac ou le reflux gastro-oesophagien peuvent être responsables.
Le malmenage vocal est une cause rependue de dysphonie. Le coup de fouet laryngé est une altération de la voix qui apparait brutalement à la suite d’un cri violent ou d’un hurlement et dont l’évolution est spontanément favorable. Le forçage ou malmenage chronique de la voix peut provoquer chez des professionnels comme les enseignants ou les chanteurs, l’apparition de nodules dans les cordes vocales. Ils modifient la voix de façon durable et imposent une prise en charge spécialisée associant rééducation orthophonique et micro-chirurgie.
Les causes tumorales sont plus rares mais doivent toujours être recherchées. Les cancers des cordes vocales et du larynx surviennent essentiellement chez les patients fumeurs et doivent être dépistés au plus tôt. Ainsi, si une trouble de la voix apparait et persistante au-delà de 8 jours, une consultation chez un spécialiste ORL s’impose, et particulièrement chez les patients fumeurs.
Les troubles de la mobilité des cordes vocales sont rares et peuvent être dans la majorité des cas secondaire ; à une atteinte neurologique ou un défaut de mobilité articulaire entre les cartilages laryngés.
Les troubles de la voix sont analysés puis les cordes vocales sont examinées grâce à système optique afin de proposer une prise en charge adaptée.
Retrouvez les liens vers les différentes interventions chirurgicales des troubles de la voix :







