Pathologie de la thyroïde et des parathyroïdes
La thyroïde est une glande endocrine située à la base du cou qui sécrète des hormones indispensables au bon fonctionnement de l’organisme.
Les glandes parathyroïdes, situées à proximité de la glande thyroïde, sont au nombre de 4, généralement deux supérieures et deux inférieures et mesurent environ 3 mm.
Ces petites glandes, localisées par paires, le plus souvent à la face arrière des lobes latéraux de la glande thyroïde (dans 85 % des cas), agissent sur l’organisme en libérant une hormone : la parathormone (PTH). La parathormone intervient dans la régulation du calcium dans l’organisme.
Les nodules thyroïdiens
Des nodules peuvent apparaitre sur cette glande. Il s’agit de formations arrondies constituées de tissu thyroïdien ou de liquide. Ces nodules sont extrêmement fréquents et touchent plus de 1 personne sur 3 après l’âge de 50 ans.
Ils sont généralement indolores et ne provoquent aucun symptôme. Leur découverte se fait souvent par hasard, au cours d’une échographie du cou ou d’un scanner réalisées pour un tout autre motif.
La plupart des nodules sont bénins et ne provoquent aucun symptôme. Ils doivent cependant bénéficier d’une surveillance médicale au long cours afin de contrôler leur évolution.
Si les nodules sont suspects ou lorsqu’ils sécrètent une quantité excessive d’hormone, un geste chirurgical est nécessaire. L’intervention consiste à retirer une partie de la thyroïde ou sa totalité afin d’analyser la nature des nodules et de couper cours à leur évolution.
Les nodules de la thyroïde sont fréquents et doivent bénéficier d’un bilan et d’une prise en charge adaptée.
L’hyperthyroïdie
L’hyperthyroïdie correspond à la surproduction d’hormones thyroïdiennes (T3-T4) par la glande thyroïde. L’impact de cet excès d’hormones thyroïdiennes sur les différents tissus cibles correspond au syndrome de thyrotoxicose.
La glande thyroïde est une glande essentielle au bon fonctionnement du métabolisme général (production de chaleur, d’énergie, augmentation de la consommation de CO2), de même elle possède des effets sur certains tissus spécifiques (cardio-vasculaires, système nerveux, remaniement osseux, favorise la lipolyse, augmente la glycémie…). La thyroïde est sous le contrôle de l’hormone hypophysaire, la TSH qui stimule toutes les étapes de la biosynthèse des hormones thyroïdiennes ainsi que la croissance de la glande.
Les causes d’hyperthyroïdie sont nombreuses, on peut retenir entre autre :
- La maladie de Basedow : maladie auto immune due à la production d’anticorps (les TRAK) stimulant le récepteur de la TSH. En se fixant sur la thyroïde, ils induisent une forte production d’hormones thyroïdiennes. La maladie de Basedow est la cause la plus fréquente d’hyperthyroïdie.
- Le goitre toxique multi-nodulaire : présence d’un goitre thyroïdien avec plusieurs nodules sécrétant des hormones thyroïdiennes.
- Adénome toxique : présence d’un seul nodule thyroïdien qui sécrète des hormones thyroïdiennes.
- Hyperthyroïdie iatrogène : hyperthyroïdie causée par certains médicaments tels que l’iode retrouvée dans l’amiodarone (médicament utilisé dans les troubles du rythme cardiaque), les traitements à base d’hormones thyroïdiennes ou encore les interférons.
- Hyperthyroïdie du post partum : hyperthyroïdie transitoire touchant les femmes dans les semaines suivant l’accouchement. Elle peut récidiver après chaque grossesse.
Le syndrome de thyrotoxicose se manifeste par des signes très amplifiés de la fonction thyroïdienne normale. Certains organes sont plus sensibles à cet effet :
- Troubles cardiovasculaires : tachycardie régulière, perceptible par le patient, augmentation des bruits du cœur (éréthisme), une élévation de la pression artérielle systolique, un pouls vibrant
- Troubles neuropsychiques : nervosité excessive, agitation psychomotrice, labilité de l’humeur, insomnie, fatigue générale, tremblements des extrémités
- Troubles généraux : thermophobie (crainte de la chaleur), amaigrissement rapide et important sans perte d’appétit, polydipsie
- Troubles digestifs : augmentation de la fréquence des selles, diarrhées.
Le traitement de l’hyperthyroïdie est fonction de l’origine et de l’intensité. Différents traitements sont possibles :
- Antithyroïdiens de synthèse (ATS) : ils permettent de diminuer la synthèse d’hormones thyroïdiennes en bloquant une étape de la synthèse des hormones thyroïdiennes. Ils ont un délai d’efficacité de 10-15 jours et nécessitent une surveillance régulière (dosage de la T4, numération sanguine).
- Traitement chirurgical : notamment si présence de goitre ou de nodules. Deux possibilités thérapeutiques, soit l’ablation de la glande thyroïde en intégralité (thyroïdectomie), soit l’ablation d’un lobe de la glande (lobectomie thyroïdienne).
- Traitement par iode radioactif : il consiste à détruire une partie hyperactive de la thyroïde par irradiation interne.
- Après traitement chirurgical ou par irradiation, il est possible que ceux-ci entrainent une hypothyroïdie qui sera alors traitée par Lévothyroxine afin de maintenir une fonction thyroïdienne normale.
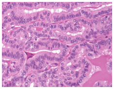
Le cancer de la thyroïde
Le cancer de la thyroïde est une pathologie maligne de la thyroïde caractérisée par la prolifération anormale de cellules thyroïdiennes. Il existe différent type de cancer de la thyroïde en fonction du type cellule concerné :
- Cancer papillaire qui représente plus de 80% des cancers de la thyroïde
- Cancer folliculaire
- Cancer médullaire
- Cancer dédifférencié et anaplasique
- Lymphome de la thyroïde
La plupart de ces cancers surviennent sans qu’une cause particulière soit identifiée. Cependant il existe des facteurs de risques qui favorisent la survenue de ces cancers comme :
- des antécédents familiaux de cancers de la thyroïde
- une radiothérapie du cou notamment dans l’enfance
- des anomalies génétiques particulières (mutation du gène RET)
L’incidence des cancers thyroïdiens est en augmentation dans les pays industrialisés, qui représente désormais le quatrième cancer de la femme en France. Cette augmentation est largement due à l’amélioration des techniques de détection qui identifient désormais de toutes petites tumeurs souvent très faiblement agressives.
Le cancer de la thyroïde ne provoque le plus souvent aucun symptôme. Ils sont découverts de façon fortuite lors d’un examen d’imagerie comme une échographie, un scanner ou une IRM réalisée pour une toute autre raison.
Le cancer peut être révélé par la présence d’un nodule de la thyroïde palpable ou visible. Plus rarement, il peut être révélé par un ganglion situé au niveau du cou ou par un trouble de la voix de la déglutition ou de la respiration qui sont liés à un envahissement du larynx ou de ses nerfs, de la trachée ou de l’œsophage. Des métastases situées dans les poumons ou les os peuvent aussi révéler la maladie.
Le traitement dépend du type exact de cancer de la thyroïde ainsi que de multiples paramètres qui sont discutés en Réunion de Concertation Pluridisciplinaire, réunissant des médecins de différentes spécialités.
- Un traitement chirurgical (thyroïdectomie totale ou lobectomie thyroïdienne) est réalisé en première intention dans la plupart des cas. Ce geste peut être associé à l’ablation des ganglions lymphatiques qui drainent la thyroïde (curage ganglionnaire).
- Dans un deuxième temps un traitement par iode 131 en comprimé appelé IRAthérapie peut compéter le traitement des cancers papillaires et folliculaires.
- L’utilisation de chimiothérapies conventionnelles ou d’une radiothérapie est exceptionnelle. Elle est réservée à des formes agressives rares de la maladie.
L’hyperparathyroïdie primaire
Il s’agit d’une production anormalement élevée d’hormone parathyroïdienne, appelée parathormone (PTH), par les glandes parathyroïdes. Cette élévation de la parathormone est à l’origine d’une augmentation du taux de calcium dans le sang (hypercalcémie) par une augmentation de la résorption osseuse, par la réduction de l’élimination rénale du calcium et par l’augmentation de l’absorption intestinale de calcium.
Il s’agit de la maladie endocrinienne la plus fréquente chez l’adulte, après les pathologies thyroïdiennes. Elle touche 1 à 3 % de la population générale et principalement les femmes après 50 ans.
Cette maladie est asymptomatique dans plus de 80% des cas. Elle est découverte de façon fortuite, lors d’un bilan sanguin, qui met en évidence une élévation du taux de calcium associée à une élévation du taux de parathormone (ou des valeurs normales inappropriées). Le patient lui ne présente souvent aucun symptôme évocateur de la pathologie, car les complications progressent souvent à bas bruit et ne se révèlent et qu’à plus long terme.
L’hyperparathyroïdie primaire peut être à l’origine des complications suivantes :
- rénales : lithiases rénales calciques, colique néphrétique, néphrocalcinose et insuffisance rénale
- osseuses : ostéoporose pouvant se compliquer de fractures, chondrocalcinose et douleurs osseuses
- générales : troubles digestifs, constipation et asthénie
- neuropsychiques (cas d’hypercalcémie sévère) : comme une fatigue chronique, des troubles de la vigilance et des troubles cognitifs
La cause la plus fréquente (85%) est la transformation d’une ou plusieurs glandes parathyroïdes en un adénome, qui sécrète de la parathormone en excès. Il n’y a pas, à ce jour, de cause, ni de facteur de risque connue pour expliquer cette évolution spontanée et isolée.
Des causes plus singulières sont retrouvées dans 15% des cas environ. Il peut s’agir :
- de formes familiales et génétiques d’hyperparathyroïdie, dans lesquels plusieurs glandes parathyroïdes sont souvent impliquées, sous la forme d’une hyperplasie
- d’un déficit marqué et durable en vitamine D
- de la prise de certains médicaments qui augmentant le taux de parathormone :
– diurétiques thiazidiques
– sels de lithium
Il convient de noter qu’une insuffisance rénale chronique peut être à l’origine d’une élévation du taux de parathormone, appelée hyperparathyroïdie secondaire, qui n’entre pas dans le cadre de cette présentation.
Le traitement de référence est chirurgical. Il consiste à retirer, la ou les glandes parathyroïdes hyperfonctionnelles, par une incision réalisée à la partie base du cou.
Le traitement chirurgical n’est pas systématique. Il est cependant fortement recommandé si le patient présente des complications ou si son taux de calcium est supérieur à 2,75 mmol/L. Cette recommandation ne fait pas l’objet d’un consensus absolue car les progrès des techniques d’imagerie et de chirurgie font rapidement évoluer les indications de traitement.
Si le traitement chirurgical n’est pas réalisable ou en attendant sa mise en œuvre, un traitement médical peut être proposé. Il a pour objectif de normaliser le taux de calcium sanguin et d’éviter les complications de l’hypercalcémie. Il s’appuie sur les principes suivants :
- maintenir une hydratation suffisante
- mettre en route un traitement par Cinacalcet (médicament qui abaissent le taux de production de parathormone)
- éviter les diurétiques (les thiazidiques sont contre indiqués)
N’hésitez pas à poser vos questions à votre chirurgien spécialiste de la thyroïde et des parathyroïdes.

















