
Otites moyennes aigües
L’otite moyenne aigue est une inflammation d’origine infectieuse de la muqueuse de l’oreille moyenne (située en arrière du tympan). Il s’agit de l’infection la plus fréquemment rencontrée chez les enfants (notamment chez le nourrisson entre 6 et 24 mois).

Il s’agit d’une infection virale dans la plupart des cas mais une infection bactérienne est parfois en cause. La contamination infectieuse se fait à partir du rhinopharynx et des cavités nasales par la trompe d’Eustache (aussi appelée trompe auditive, qui permet de relier ces structures à l’oreille moyenne).
Les enfants sont plus particulièrement touchés car leur système immunitaire n’est pas encore mature ce qui favorise la survenue d’infections rhinopharyngées à répétition. Chez les enfants, la trompe d’Eustache est souvent plus courte et plus perméable qu’à l’âge adulte, ce qui facilite le passage des germes jusqu’à l’oreille moyenne. Une hypertrophie des végétations adénoïdes qui est fréquente chez les enfants peut aussi constituer un « réservoir de germes ».
Il existe chez l’enfant de nombreux facteurs favorisants la survenue d’une otite moyenne aiguë :
• la vie en collectivité (en crèche notamment)
• l’exposition au tabagisme passif et à la pollution
• les anomalies de la trompe d’eustache (fente palatine, trisomie 21, malformation locale,…)
• des antécédents d’otites récidivantes dans la famille
• l’absence d’allaitement maternel
• des conditions de vie et d’hygiène précaires
• la saison automno-hivernale (qui augmente la fréquence des infections)
L’otite moyenne aiguë survient souvent pendant ou après une rhinopharyngite (rhume). Le patient se plaint d’une douleur à l’oreille, plus ou moins intense. Cette douleur est associée à une baisse de l’audition qui n’est souvent pas signalée chez les enfants. Des signes infectieux généraux accompagnent le tableau avec une asthénie et un fébricule.
Il existe deux stades de l’otite moyenne aiguë :
• l’otite congestive : c’est-à-dire sans épanchement. Il s’agit d’une simple inflammation de la muqueuse de l’oreille moyenne.

• l’otite suppurée : lorsque l’inflammation s’accompagne d’un épanchement purulent en arrière du tympan; à ce stade l’otite peut-être soit collectée, soit perforée (si il y a une perforation du tympan).

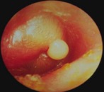
Le diagnostic est réalisé par un médecin, qui devant les symptômes précédemment décrits réalise un examen otoscopique, qui permet de visualiser le tympan et le conduit auditif externe. Le tympan présente en général un aspect inflammatoire caractéristique. En cas d’otite suppurée un épanchement purulent est visible en arrière du tympan et signe le diagnostic.

Le traitement est adapté en fonction du type d’otite :
Si l’otite est au stade congestif on mets en place:
• une désobstruction des fosses nasales à l’aide de sérum physiologique et parfois de vasoconstricteur intra-nasal.
• un traitement antalgiques et d’antipyrétiques par voie orale par du paracétamol.
• à ce stade, il n’est pas utile de recourir aux antibiotiques car l’évolution se fait vers une guérison en quelques jours.
Si l’otite au stade suppuré les traitements précédant sont associés à une antibiothérapie par voie orale.
Une paracentèse peut être réalisée dans de rares cas. Il s’agit d’une incision du tympan, sous anesthésie, qui permet de drainer le pus situé en arrière du tympan. Ce geste permet d’identifier les germes responsables de l’otite et de déceler d’éventuelles résistances aux antibiotiques. Cette procédure est réservée aux otites graves, compliquées ou résistantes aux traitements habituels.
L’évolution est le plus souvent favorable spontanément ou sous traitement. Cependant dans 10 à 20% des cas, l’otite aiguë peut évoluer vers une otite chronique, appelée aussi otite séro-muqueuse qui impose une prise en charge adaptée.
Si une otite aiguë suppurée n’est pas convenablement traitée des complications graves. Il s’agit essentiellement d’une extension de l’infection aux structures cérébrales situées à proximité. Cependant, en l’absence de facteur favorisant, comme un déficit de l’immunité, ces complications restent exceptionnelles.
